เป็นอีกเรื่องราวที่โลกโซเชียลสนใจ เมื่อเพจด้านการแพทย์ชื่อดัง "Tensia"  ออกมาเผยข้อมูลเคสผู้ป่วยหญิงรายหนึ่งว่า "หญิง 34 ปี เหนื่อยและเจ็บอกขวาทันทีทันใด เป็นช่วงมีเมนส์ แพทย์วินิจฉัยปอดขวาทะลุ ส่องกล้องพบ เยื่อบุมดลูก เกาะกระจายเต็มผิวกะบังลมและปอด

เยื่อบุมดลูกเจริญผิดที่ (Endometriosis) คือมีการโตของเยื่อบุนอกมดลูก โตตามรอบเดือน สลายตามรอบเดือน แล้วสร้างการอักเสบให้จุดที่มันโต วนแบบนี้ไปเรื่อยๆ ส่วนใหญ่เป็นแถวรังไข่ และอุ้งเชิงกราน แต่คราวนี้มันมาถึงปอด

หญิง 34 ปี มีอาการปวดประจำเดือนและปวดระหว่างมีเพศสัมพันธ์มาตั้งแต่อายุ 20 แล้ว ช่วงใกล้ๆ นี้เคยปอดขวาทะลุมาแล้ว 3 รอบ และมักจะเป็นช่วงที่มีประจำเดือน ซึ่งแค่พักก็หายได้เอง

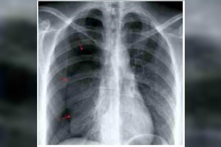
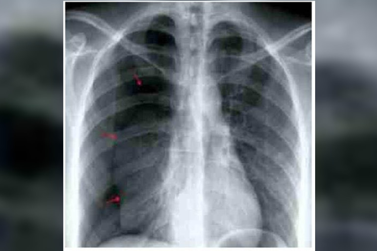
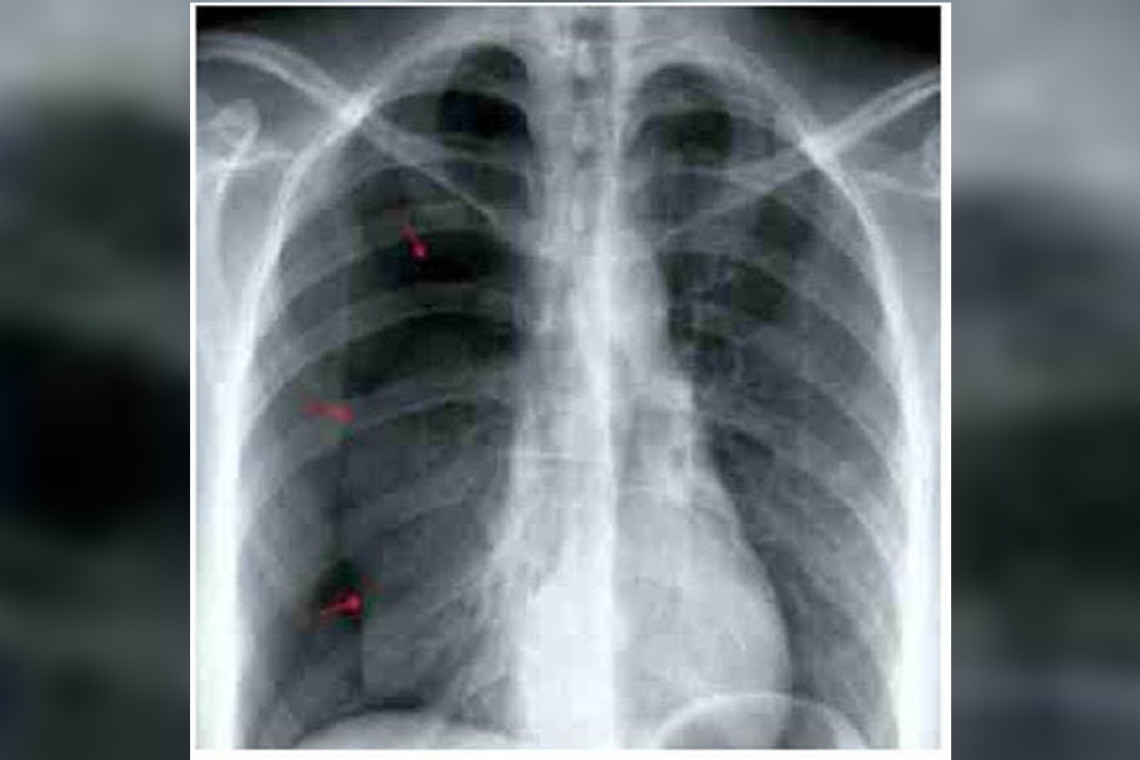
รอบนี้มาด้วยเหนื่อย+เจ็บอกขวาขึ้นมาทันทีทันใด ออกแรงหรือหายใจเข้าแล้วเจ็บมากขึ้น แพทย์ทำเอ็กซเรย์ดังภาพ พบปอดขวาแฟ่บลง (ลูกศรสีแดงคือแนวขอบของปอดที่หดลงมา)

บ่งบอกว่ามีภาวะปอดทะลุ (Pneumothorax) เกิดทางเชื่อมระหว่างโพรงอากาศในปอด กับช่องเยื่อหุ้มปอด (Pleural cavity) ลมได้เข้าไปยังช่องเยื่อหุ้มปอด ทำให้ปอดสูญเสียในการสร้างความดันในขยายปอด

ตรวจอัลตราซาวด์ก็พบจุด (nodule) หลายจุดอยู่ที่เยื่อระหว่างช่องคลอดกับลำไส้ตรง (Rectovagial septum)

แพทย์ได้ใส่สายระบายลม (Chest tube) เพื่อระบายลมออกจากเยื่อหุ้มปอด และวางแผนผ่าตัด

แพทย์วินิจฉัยว่าน่าจะมีภาวะเยื่อบุมดลูกเจริญผิดที่เยื่อกั้นช่องคลอดกับไส้ตรง และน่าจะมีที่ปอดด้วย เป็นต้นเหตุให้ปอดรั่วหลายครั้ง เพราะมันโตและอักเสบจนทะลุเรื่อยมา

สุดท้ายจึงได้ส่องกล้อง (VATS) พบหย่อมเยื่อบุมดลูกกระจายเต็มผิวกะบังลม และฝั่งปอด แพทย์ได้ใช้เครื่องจี้ไฟฟ้า จี้ออกจนหมด แล้วปิดช่องเยื่อหุ้มปอด (Pleurodesis) เพื่อไม่ให้ปอดทะลุอีก

เรียกภาวะปอดรั่วตอนมีประจำเดือนว่า Catamenial pneumothorax เป็นหนึ่งในภาวะแทรกซ้อนของภาวะเยื่อบุมดลูกเจริญที่ปอด ที่หาได้ยากมาก แต่เป็นทีก็สยองทุกเดือนไม่รู้จะเหนื่อยจี๊ดขึ้นมาอีกหรือไม่ค่ะ"

ขอบคุณ เพจ Tensia