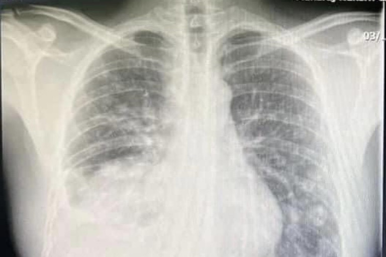
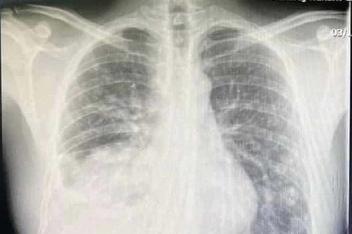
เพจเฟสบุ๊ค หมอแล็บแพนด้า โพสต์ข้อความระบุว่า …

มลพิษทางอากาศและ PM 2.5 ถูกกลับมาพูดถึงอีกครั้งครับ 
เพราะหมอหนุ่มที่ออกกำลังสม่ำเสมอ เล่นกีฬา กินคลีน ไม่สูบบุหรี่ ดื่มน้อยมาก ทำงานไม่เครียด นอน เป็นเวลา 
กลับตรวจเจอมะเร็งปอดระยะลุกลาม ปอดขวาหายไปครึ่งนึงแล้ว

ไม่รู้ว่าเกิดจากอะไร แต่เราควรจริงจังและตื่นตัวเรื่องมลพิษทางอากาศกันได้แล้วครับ  ‘ฝุ่นพิษ’ PM 2.5 มันคือฝุ่นละอองขนาดเล็กกว่า 2.5 ไมครอน มีผลเสียต่อสุขภาพอย่างมาก ซึ่งอยู่คู่กับประเทศไทยมาหลายปี และมาเป็นฤดูกาล ตั้งแต่หน้าหนาวยาวข้ามปีไปหน้าร้อน

ความร้ายกาจของ PM 2.5 คือ มันไม่ได้มาตัวเปล่า แต่ดันเอาเพื่อนอย่าง สารปรอท แคดเมียม โลหะหนักอื่นๆ และพวกสารก่อมะเร็งอีกมากมายติดมาด้วย 
PM 2.5 สามารถทำให้เราเสี่ยงเป็นมะเร็งปอดได้จริง ซ้ำร้ายยังสามารถเหนี่ยวนำให้เป็นมะเร็งชนิดอื่นๆได้อีกด้วยนะครับ 

ป้องกันตัวเองไว้ก่อนดีสุดครับ ไม่ว่าจะเป็นฝุ่น หรือพวกควันบุหรี่มือหนึ่ง มือสอง มือสาม พอถึงจุดที่เราป่วยเข้าจริงๆ เงินทองอะไรทั้งหลายก็ไม่มีค่า การได้มีชีวิต ใช้ชีวิต และไม่มีโรคภัยไข้เจ็บ มันคือดีที่สุดแล้ว