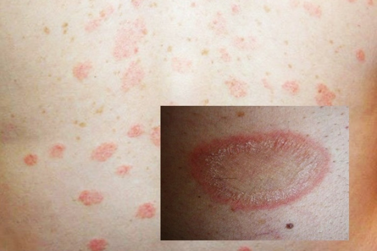
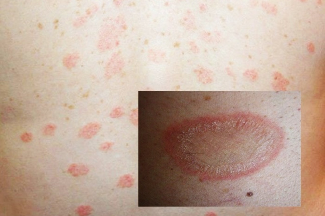
โรคผิวหนังที่สัมพันธ์กับการติดเชื้อไวรัส ส่วนใหญ่เกิดในคนอายุยังน้อย ผู้หญิงเป็นมากกว่าชาย ผื่นอยู่ได้นาน 2-5 เดือน หายเองได้ แต่ต้องระวังในคนท้องช่วงแรกมีความเสี่ยงเกิดแท้ง โดยผื่นแรกจะนำร่องที่ลำตัวเป็นผื่นใหญ่ และผื่นเล็กจะตามมา พร้อมมีไข้ ปวดเมื่อย ปวดข้อ คัน นพ.สมศักดิ์ อรรฆศิลป์ อธิบดีกรมการแพทย์ เปิดเผยว่า โรคผื่นกุหลาบเป็นโรคผิวหนังมีอาการเฉียบพลัน ยังไม่มีสาเหตุแน่ชัด พบมีความสัมพันธ์กับการติดเชื้อไวรัส ผื่นมีลักษณะเฉพาะ รูปร่างกลมหรือรี มีการกระจายเป็นแนวตามร่องบนผิว คล้ายกับลักษณะของต้นสน โรคนี้ส่วนใหญ่เกิดในคนอายุน้อย โดยเฉพาะช่วงอายุ 10-35 ปี พบได้ในทุกเชื้อชาติ และพบในผู้หญิงมากกว่าผู้ชายในอัตรา 2:1 ผื่นมักเกิดอยู่นานประมาณ 6-8 สัปดาห์แล้วหายได้เอง แต่ในผู้ป่วยบางรายอาจเป็นนานถึง 5 เดือนหรือมากกว่า การวินิจฉัยแยกกับผื่นผิวหนังอักเสบอื่นๆ มีรายงานว่า การเกิดผื่นกุหลาบในผู้ป่วยตั้งครรภ์ เป็นความเสี่ยงทำให้เกิดการแท้งได้ โดยเฉพาะช่วง 15 สัปดาห์แรกของการตั้งครรภ์ พญ.มิ่งขวัญ วิชัยดิษฐ ผู้อำนวยการสถาบันโรคผิวหนัง กรมการแพทย์ กล่าวเพิ่มเติมว่า ผื่นแรกมักเกิดขึ้นบริเวณลำตัวและมีขนาดใหญ่ขึ้นเรื่อยๆ บางครั้งอาจพบบริเวณคอ หรือ แขนขาส่วนบนได้ โดยมักจะเกิดนำผื่นอื่นๆ เป็นชั่วโมงหรือวัน ลักษณะเป็นผื่นเป็นสีชมพู สีแซลม่อน หรือสีน้ำตาล อาจจะมีขอบยกเล็กน้อย ขนาดประมาณ 2-4 เซนติเมตร แต่บางกรณีอาจมีขนาด 1 เซนติเมตร หรือใหญ่ถึง 10 เซนติเมตร ตรงกลางของผื่นมีขุยขนาดเล็ก ขอบขยายใหญ่ขึ้น ประมาณ 5%ของคนไข้มีอาการนำมาก่อน เช่น ปวดหัว มีไข้ ปวดข้อ และปวดเมื่อย อาจพบตุ่มหนองเล็กๆ ในช่วงแรกของโรค มักไม่พบผื่นบริเวณหน้า มือและเท้า อาการคันในโรคผื่นกุหลาบพบได้ประมาณ 25% ผอ.สถาบันโรคผิวหนัง ให้คำแนะนำเพิ่มเติมว่า ผื่นกุหลาบมักไม่มีอาการแสดงและสามารถหายได้เองโดยไม่ทิ้งร่องรอย การรักษาจึงเป็นการรักษาตามอาการเป็นหลัก การใช้ครีมชุ่มชื้นผิวที่เหมาะสม ร่วมกับยาทาสเตียรอยด์ หรือ ยากินในกลุ่ม antihistamines สามารถช่วยลดอาการคันได้ แต่ควรอยู่ในความดูแลของแพทย์ ผู้ป่วยที่มีอาการรุนแรง การรับประทานยาในกลุ่มสเตียรอยด์ช่วงสั้นๆ การฉายแสง UVB (Narrowband or broadband) สามารถช่วยควบคุมโรคได้